Chapter 2: A Common Reality Few Talk About
The condition behind this silence is Human Papillomavirus (HPV)—one of the most widespread infections globally.Medical experts estimate that nearly every sexually active person will encounter it at some point.Yet despite how common it is, awareness often remains incomplete.
For years, public conversations focused primarily on its connection to cervical cancer, leaving a gap in understanding: HPV affects men as well—and often without being recognized.
Chapter 3: More Than One Virus
HPV is not a single virus, but a group of more than 200 related strains.
These are generally divided into:
- Low-risk types, which may cause warts or minor skin changes
- High-risk types, which are linked to cancers
In men, high-risk strains are increasingly associated with Oropharyngeal Cancer, affecting areas like the throat, tonsils, and base of the tongue.
Most infections clear naturally within one to two years. But when the virus persists, it can gradually alter cells in ways that may lead to more serious conditions.
Chapter 4: The Silent Spread
One of the most challenging aspects of HPV is how it spreads.
It does not require the exchange of bodily fluids. Instead, it transmits through direct skin-to-skin contact, often during intimate interactions.
This means it can pass from person to person without any visible signs.
A person may carry the virus for years without symptoms—unaware they are transmitting it.
This silent nature is what keeps HPV so widespread.
Chapter 5: Why It Matters for Men
For a long time, HPV was widely seen as a women’s issue.
That perception is changing.
Men can experience:
- Increased risk of certain cancers
- Visible conditions like genital warts
- Unintentional transmission to partners
Because symptoms are often absent, awareness becomes essential—not just for personal health, but for shared responsibility.
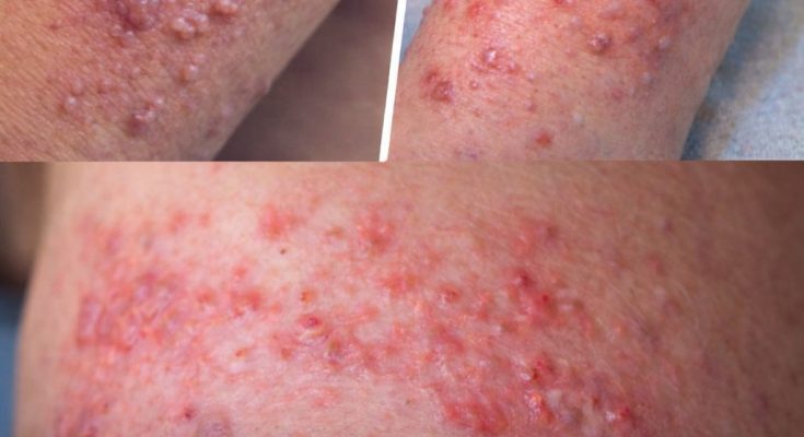
Chapter 6: Recognizing the Signs—or the Lack of Them
In many cases, there are no symptoms at all.
When signs do appear, they may include:
- Small growths or warts
- Persistent throat discomfort or changes
- Unusual lesions
However, the absence of symptoms does not mean the absence of infection.
This is what makes early awareness so important.
Chapter 7: The Emotional Side
Beyond physical health, HPV can carry emotional weight.
A diagnosis may lead to confusion, anxiety, or stigma—often based on misunderstanding rather than fact.
In reality, HPV is extremely common.
It does not define a person’s behavior or character.
Open communication and accurate information can reduce fear and help people approach the situation with clarity instead of judgment.
Chapter 8: What You Can Do
While HPV is widespread, there are effective ways to reduce risk:
- Vaccination: Protects against high-risk strains and is recommended even into adulthood
- Protective practices: Reduce (but do not eliminate) transmission risk
- Regular health awareness: Noticing unusual symptoms early
- Stronger immunity: Through healthy lifestyle habits
- Open communication: With partners and healthcare providers
These steps are not about fear—they are about control and prevention.
Chapter 9: Breaking the Myths
Several misconceptions continue to surround HPV:
- It does not affect only women
- Lack of symptoms does not mean no infection
- It is not limited to specific lifestyles
- Vaccination is relevant for men too
Understanding these truths helps remove stigma and encourages informed decisions.
Epilogue: Awareness Over Fear
The story of HPV is not one of panic—but of awareness.
Most cases resolve naturally. Many never lead to serious problems.
But knowing how it works allows people to protect themselves and others.
Sometimes, the most important health risks are not the ones we feel immediately…
but the ones we understand early enough to act on.
